07.03.2024г. кардиохирургами ГВКГ им. Н.Н.Бурденко проведена уникальная операция по удалению инородного тела (металлического осколка) из дуги аорты через министернотомный доступ.
Пациент М. при выполнении боевых задач СВО получил огнестрельное осколочное торакоабдоминальное ранение с повреждением 1-2 сегмента левого легкого, диафрагмы, левой доли печени, сквозное ранение желудка, селезенки, тонкой и толстой кишки. На этапах эвакуации были выполнены: ПХО ран, торакоцентез, лапаротомия, ушивание ран толстой кишки, резекция тонкой кишки, спленэктомия. На последующем этапе лечения выполнили релапаротомию, наложение еюно-еюноанастомоза, ушивание сквозного ранения желудка (время между первым и вторым этапом составило около 2х часов.) После чего по этапу эвакуации был доставлен в ГВКГ им.Н.Н.Бурденко.

В ходе обследования и лечения в ГВКГ им.Н.Н.Бурденко у больного выявили постдиафрагмальный абсцесс и провели проточно-аспирационное дренирование, на фоне которого абсцесс разрешился. В ходе обследования по R-графии у больного были выявлены множественные инородные тела (осколки) в мягких тканях (Рисунок 1), но особое внимание на себя обращал осколок, который находился на дуге аорты.

С целью дальнейшей верификации выполнили КТ ОГК и выявили, что инородное тело находится в дуге аорты.

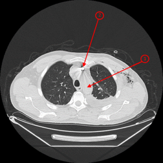
Рисунок 2. КТ ОГК, на котором виден осколок, лежащий на дуге аорты.
1 — Инородное тело (осколок)
2 — Дуга аорты
С целью исключения экстравазации была выполнена МСКТ ангиография, по результатам которой данных за экстравазацию не было получено. Инородное тело находится между левой плечеголовной веной (интимное прилегание) и передней стенкой восходящего отдела грудной аорты (интимное прилегание). Расстояние до устья правой плечеголовной артерии составило 7,8 мм. Инородное тело округлой формы, размерами 9,7х10,6 мм.

Рисунок 3. МСКТ ангиография: осколок расположен на дуге аорты и левой плечеголовной вены.
1 — Левая плечеголовная вена
2 — Инородное тело (осколок)
3 — Дуга аорты
Учитывая, что инородное тело (осколок) достаточно больших размеров, интимно прилегающий к магистральным сосудам, был предположен высокий риск развития пролежня с дальнейшим разрывом аорты. В связи с этим был проведен консилиум главных специалистов, которые определили показания для удаления инородного тела – осколка.

Рисунок 4. Процесс удаления инородного тела через J-образную министернотомию.
07.03.2024г. выполнили J-образную министернотомию, при ревизии выявили металлический осколок цилиндрической формы размерами 8х6 мм, который интимно прилегал к дуге аорты и левой плечеголовной вены. Осколок был удален, а ложе обильно промыто растворами антисептиков.

Уникальность случая заключается в том, что для удаления инородных тел при ранениях сердца и магистральных сосудов все чаще стали прибегать к миниинвазивным и гибридным методам лечения, которые в свою очередь положительно влияют на процессы заживления и реабилитации пациентов.
Ранее при подобных ранениях прибегали к выполнению стандартной срединной стернотомии, которая в свою очередь является достаточно травматичной.