Главная Статьи

Клинический случай успешной терапии HER-позитивного рака желудка IV стадии с сопутствующей кардиальной патологией

Время чтения: 4 минуты
Олег Павлов, нейросеть

Случай успешной терапии HER-позитивного рака желудка IV стадии с сопутствующей кардиальной патологией

Содержание

Диагноз. Основное заболевание

Пациент К., 79 лет: рак антрального отдела желудка (ГИ от 14.04.2023 № В06048_23-1 – аденокарцинома G1), сТ2N1M1, IV ст., HER\neu 3+, PD-L1 0, MSS, ypT2ypN1, LV0, Pn0, R0. Забрюшинная лимфаденопатия, канцероматоз брюшины, малый асцит. ПХТ 1-й линии FOLFOX № 2 (05.2023). Нежелательные явления (кардиотоксичность, нефротоксичность).

МХТ Капецитабином;(СД;–;4000 мг/сут;;16.06.-30.06.2023).;Нежелательные явления;(ладонно-подошвенный синдром;стоматит). ТТ Лапатинибом (08-11.2023; СД 1000 мг/день с учетом исследования Oncobox), МХТ Капецитабином (08.2023 – 500 мг/день, 09.2023 – 1000 мг/день; 10.2023 – 1500 мг/день). Нежелательные явления: ладонно-подошвенный синдром, диарея (с 01.10.2023), стоматит (с 11.10.2023).

Частичный регресс (ПЭТ/КТ от 20.09.2023): уменьшение толщины стенок антрального отдела желудка, уменьшение размеров забрюшинных лимфатических узлов, уменьшение канцероматоза, регресс асцита. Терапия конъюгатом Трастузумаб эмтазин № 5 (02.11.2023 — 25.02.2024, с учетом исследования Oncobox, впервые в мире!).

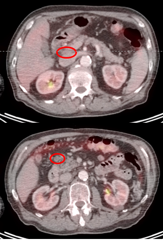
Цитостатическая гематологическая токсичность: преходящая тромбоцитопения (тромб. от 14.04.2024 – 82х10^9\л, по Фонио – 94х10^9\л). Стабилизация (ПЭТ/КТ от 18.12.2023; 12.03.2024): повышенная активность РФП в стенках антрального отдела желудка (SUV max – 2,9), очаговые уплотнения по брюшине (без активности РФП).

Лапаротомная циторедуктивная операция от 04.04.2024 г. в объеме дистальной субтотальной резекции желудка, гастроеюноанастамоз. ТТ Трастузумабом (5-я линия) № 16 (06.05.2024 по н.вр.).

Полный регресс (ПЭТ/КТ от 28.10.2024, 18.02.2025; 08.10.2025).

Сопутствующие заболевания:

ИБС: Атеросклеротический кардиосклероз. Атеросклероз БЦА. Гипертоническая болезнь III стадия, достигнутая I степень АГ, гипертрофия левого желудочка. Риск очень высок. ССО. СКФ (CKD-EPI) 40,2 мл/мин/1,73м2. ХБП 3. Кальциноз створок МК, с формированием порока (средней степени). ХСН 2А ст. III ФК по NYHA. Недостаточность ТК 2-3 ст. Легочная гипертензия 1ст. Постоянная форма фибрилляций предсердий, нормосистолия. CHADs2VASc 6 баллов. Нарушение ритма сердца по типу частой желудочковой экстрасистолии, неустойчивых пароксизмов желудочковой тахикардии. Полная блокада левой ножки п. Гиса.

Онкоконсилиум 22.04.2024 г.: продолжение таргетной терапии Трастузумабом до прогрессирования или неприемлемой токсичности.

Пациент продолжает получать Трастузумаб по настоящее время (февраль 2026 г.). Побочных эффектов нет. Фракция выброса левого желудочка по данным ЭхоКГ в пределах нормы. Пациент активен, состояние удовлетворительное. Сохраняется полный регресс рака желудка.

Пациент К., 79 лет. Результаты Oncobox (исслед. выполнено20.06.2023 г.)

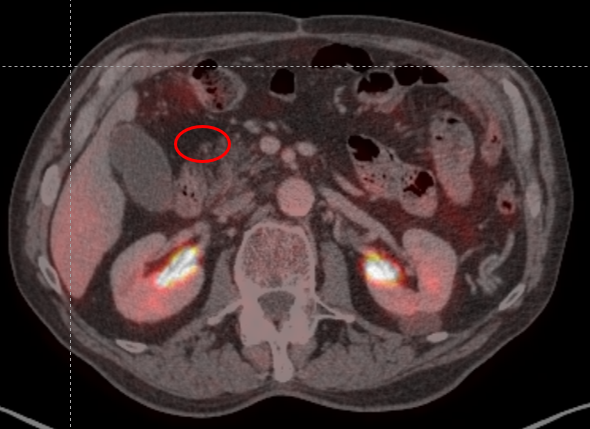
ПЭТ/КТ: апрель 2023
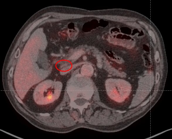
ПЭТ/КТ: март 2024: выраженная положительная динамика. Последующие исследования показали полный регресс опухоли

Опухоль MSS, мутационная нагруженность опухоли (TMB) низкая (6,7 мутаций/Мб), чувствительность к препаратам платины снижена, диагностические мутации в генах: ERBB2 (амплификация) – положительный статус HER2, а также активность путей EGFR. Опухоль наиболее чувствительна к препаратам – Трастузумаб эмтазин, Пертузумаб, Трастузумаб, Лапатиниб, Цетуксимаб, Панитумумаб, Афатиниб.

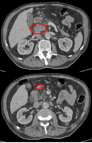
ПЭТ/КТ от 18.10.2025 полный регресс опухоли

Выводы

В Онкологическом центре «СМ-Клиника» пациенту была подобрана таргетная (антиHER2) терапия off-label, которая позволила остановить рост опухоли, стабилизировать состояние пациента и «выйти» на операцию. Впервые в мире были применены препараты Лапатиниб и Трастузумаб эмтазин (конъюгат моноклонального антитела и химиопрепарата) для лечения рака желудка.

Эти препараты (антиHER2-терапия) кардиотоксичны, но при постоянном наблюдении и лечении пациента врачами-кардиологами «СМ-Клиника» нежелательные явления кардиотоксичности по максимуму были купированы. Пациент на фоне этой терапии достиг частичного регресса и был прооперирован (выполнена гастрэктомия с лимфодиссекцией D2). Особо отметим, что на IVстадии рака желудка оперативное лечение не входит в российские клинические рекомендации, но хирургам Онкологического центра удалось выполнить адекватную циторедуктивную операцию.

В послеоперационном периоде пациент продолжает принимать антиHER2-терапию (Трастузумаб эмтазин) для профилактики рецидива/прогрессирования заболевания. По данным ПЭТ/КТ (18.10.2025) сохраняется полный регресс болезни. Признаков кардиотоксичности на фоне терапии нет. Мужчина чувствует себя хорошо. Полон сил и энергии.

Внимание! Сайт содержит информацию предназначенную только для медицинских работников.